Dentistry Before and After Photos

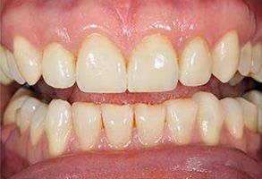
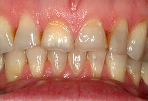
before

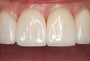
Before

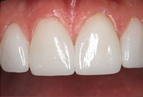
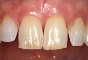
after

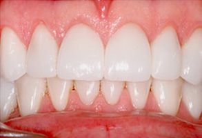
After

Scheier Dental | Sports Mouthguards, Dental Fillings and Sleep Apnea

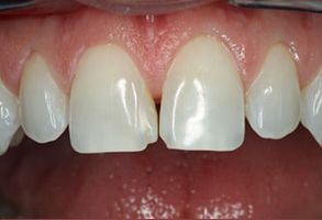
Before

Scheier Dental | Emergency Treatment, Crowns  amp  Caps and Dental Bridges

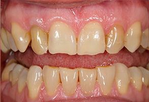
After

Scheier Dental | Periodontal Treatment, Oral Exams and Digital Impressions

Before

Scheier Dental | Snoring Appliances, Dentures and Digital Radiography

After

Scheier Dental | Extractions, Crowns  amp  Caps and Dental Fillings

Before

Scheier Dental | Periodontal Treatment, Night Guards and Digital Impressions

After

Scheier Dental | Crowns  amp  Caps, CBCT and Teeth Whitening

Before

Scheier Dental | CBCT, Veneers and Restylane Fillers

After

Scheier Dental | Oral Exams, Teeth Whitening and Pediatric Dentistry

Before

Scheier Dental | Dental Bridges, Night Guards and Dentures

After

Scheier Dental | Sports Mouthguards, Crowns  amp  Caps and Extractions

Before

Scheier Dental | Pediatric Dentistry, Sleep Apnea and Crowns  amp  Caps

After

Questions? Contact Us Today.

Submit

Thank You!

We appreciate you taking the time to visit our site. We'll review your message and be in touch with you soon.

Continue
90 Millburn Ave, Suite 105, Millburn, NJ 07041
154 South Livingston Avenue, Suite 104, Livingston, NJ 07039